您当前的位置首页 >医院新闻 > 信息动态
『破茧成蝶』导航定位结合内镜对甲介鞍底型垂体大腺瘤的微创精准治疗
2024-08-20  |   395   |       

    垂体是正常人的中枢性神经激素腺体,位于大脑底部,在鼻子后面深处一个豆子大小的器官,是人体脑组织中的重要内分泌腺体。尽管腺体很小,但它几乎会影响身体的每个部分,人体激素的正常分泌调节都是它来统管。垂体瘤的发生可导致头痛、尿崩、阳痿、毛发脱落等多种症状,逐渐变大压迫视神经可导致视力下降视野缺损甚至失明,严重内分泌激素紊乱可导致昏迷死亡。

    近几个月来,69岁的赵阿姨,因为这个“小东西”吃了不少苦。反复的头晕、头痛以及视力减退使得她来到兴安盟人民医院神经外科就诊。门诊完善头颅CT、头颅核磁,提示:颅内鞍区占位,考虑垂体瘤,且她的蝶骨非常厚,属于复杂的甲介型鞍底,甲介型鞍底因先天蝶骨没有气化成窦腔,解剖标志难以识别,手术很难采用经鼻蝶微创治疗。

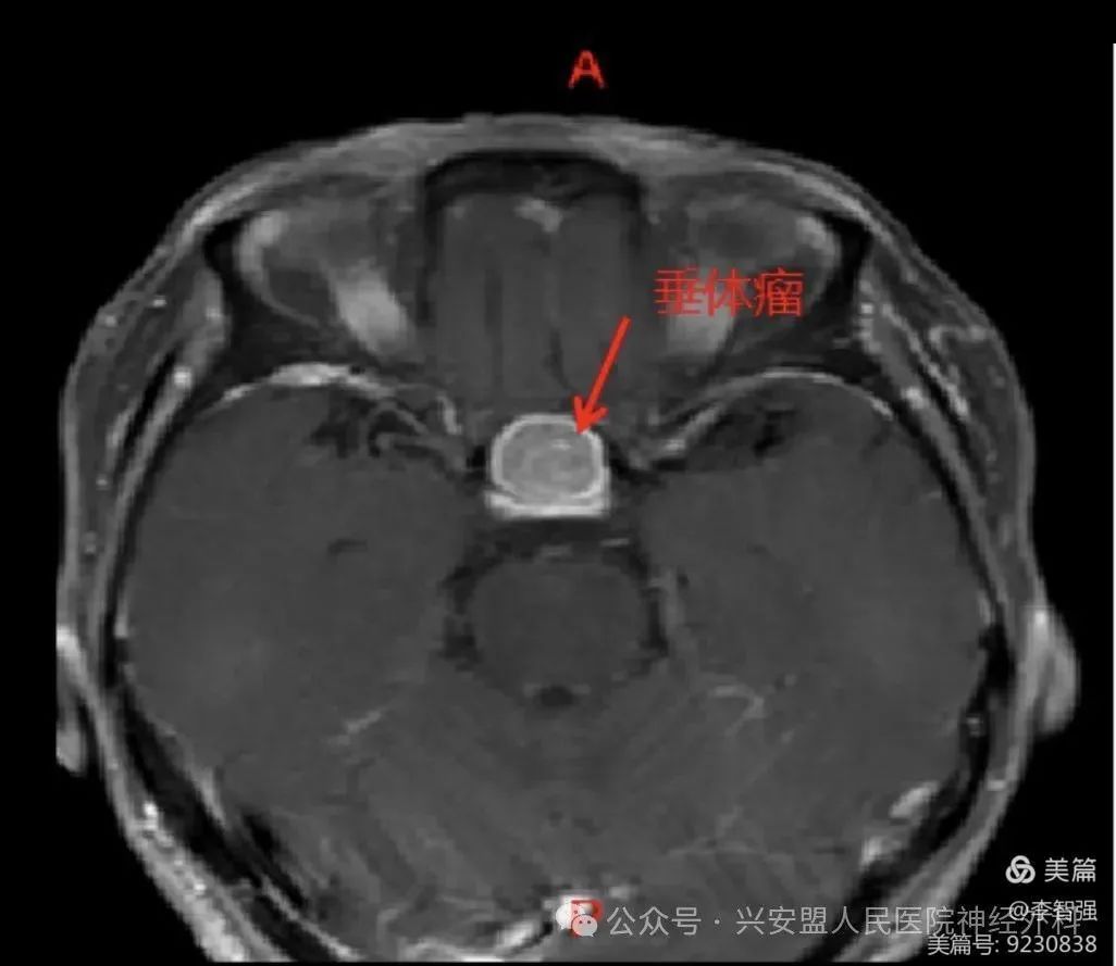
患者头颅核磁提示鞍区较大椭圆形病灶,视神经受压、上抬。

头颅核磁及头颅CT骨窗可见气化不良的甲介型鞍底

    赵阿姨因为比较注重养生的缘故,平时很少生病。视力下降一直认为老花眼白内障。确诊以后对此疾病不免充满了担忧和焦虑。家人和医生对她进行心理疏导,让她放心治疗。

    患者收入院后兴安盟人民医院神经外科团队立刻对此特殊病例展开讨论。此患者属于没有正常蝶窦气房的甲介型鞍底,对于此种解剖形态变异,手术难以定位和达到预期的鞍底位置,甚至可能会因术中迷路而损伤到周围颈内动脉和视神经。以往需要开颅手术切除这样甲介型鞍底垂体瘤,创伤较大、恢复慢。为了让赵阿姨能够在晚年健康幸福的与家人度过,经神外团队讨论后,决定启用立体定向手术机器人配合神经内镜经鼻蝶入路,既能精准定位达到肿瘤位置避免偏差,又能微创手术减少创伤!

    术前立刻启动MDT多学科会诊,在麻醉科、内分泌、眼科、心内科严密的病情评估下,启用立体定向手术机器人,通过神经内镜经鼻入路,实现精准、安全、有效的手术方法。

    术前将头颅CT与核磁融合后,精准三维重建皮肤、颅骨、瘤体

术中神经内镜经鼻腔

    手术在定位机器人导航下逐步推进,高速磨钻慢慢磨除厚厚的颅底骨质,直至到达硬膜,导航探针定位垂体瘤,快速、精确!

    确定定位无误后,切开硬膜见瘤体,手术顺利进行切除取病理。

    手术顺利结束。术后,患者麻醉清醒,经过密切监测,赵阿姨没有发生尿崩及激素紊乱等术后并发症,头疼头晕消失,视力也逐渐恢复了。当从鼻腔内取出填塞纱布呼吸新鲜空气的那刻,赵阿姨感到无比的开心。立体定向手术机器人配合神经内镜的应用让赵阿姨获得良好效果的同时,避免了高龄带来的开颅手术的风险。术后一星期患者顺利出院。术后患者复查头部CT,效果良好

    立体定向手术机器人和神经内镜的完美结合应用,保障了患者的安全,取得良好的效果。打破以往此类甲介型鞍底垂体瘤开颅手术的老式手术方式,避免了经鼻蝶手术的无定向引导易迷路造成血管神经损伤严重并发症,打开了盟医神外团队治疗甲介型鞍底垂体瘤的新途径,真正做到了破茧成蝶。垂体瘤相关科普:垂体瘤,又名垂体腺瘤,是一种起源于腺垂体、神经垂体以及胚胎期颅咽管囊残余鳞状上皮细胞的常见的中枢神经系统肿瘤,占颅内肿瘤的10%-20%,其高发年龄在30-60岁。垂体瘤多发于垂体前叶(腺垂体),在组织学上是良性肿瘤。根据症状不同,垂体瘤可分为两大类,即功能性垂体瘤和非功能性垂体瘤。

垂体瘤引起的常见症状 如图所示

    经鼻蝶手术切除垂体瘤的需要视蝶骨变异情况,蝶骨形状极不规则,气化范围差异很大。根据蝶骨体部气化范围差异,一般将蝶窦分为五型。

①甲介型:属于气化不良,蝶窦发育小,窦腔后缘与前结节垂直线之间骨质厚度达10mm

②鞍前型:蝶窦发育差,蝶窦后缘恰好位于蝶鞍之前,蝶鞍底大部分为骨松质;

③半鞍型:发育尚好,蝶窦后缘达鞍底前半部;

④全鞍型:窦腔包绕整个鞍底;

⑤鞍枕型:发育最好,蝶窦后缘超过鞍背垂线,窦腔不仅包绕整个鞍底,而且向后伸入枕骨内。

以上类型术前应予以高度重视,视情况选择术式及辅助定位,否则手术易损伤视神经及颈内动脉等重要结构造成不可挽回的损失。

    垂体瘤患者的注意事项 ①身心放松,健康生活,戒烟限酒,避免腌制熏制食品,控制高盐、高糖、高碳水食物摄入,多吃高蛋白、高维生素、高含铁量的食物,以增强自身抵抗力。保持充足睡眠、适度平缓锻炼以增强自身免疫力,忌做剧烈运动。②病情观察垂体瘤有复发的可能,需要定期复查,若出现头痛、恶心呕吐、视力减退等症状,注意及时就医。③激素紊乱者,需要激素调节治疗,并需定期监测激素,并长期补充激素不可盲目停用以免造成不可挽回损失。部分患者出现性功能障碍,为性激素紊乱造成,会影响生活与生育,排除其他原因需要在医生指导下药物治疗。      

    兴安盟人民医院神经外科是国家临床重点专科建设项目、国家卫健委能力建设和继续教育中心“神经外科建设中心”及“神经介入建设中心”、国家卫健委医院管理研究所“脑出血外科能力提升项目基地”、国家高级卒中中心、北京大学临床科学家项目单位、北京大学第三医院神经外科核磁共振成像设备与技术北京市重点实验室、首都医科大学附属北京天坛医院神经介入联盟成员单位。

预约挂号
缴费
检验结果查询
病例复印
金牌护士