我院胸外科技术突破肺结节微波消融开启"毫米级精准灭瘤"新时代—同期完成占位减瘤、活检消融三联治疗,革新肺部肿瘤诊疗模式。
【突破性进展:针尖上的肿瘤狙击战】
近日兴安盟人民医院胸外科团队成功完成院内首例肺结节微波消融术。在多模态影像导航系统引导下,直径仅1.8毫米的消融针如"精准导弹"直抵肺结节病灶,通过高频微波震荡产生局部高温,在数分钟内完成直径2.3厘米结节的完全灭活。同期开展的肺占位减瘤消融术,为晚期肺癌患者实现肿瘤负荷精准控制;联合实施的活检消融一体化技术,更在获取病理标本的同时完成肿瘤边缘灭活,开创"诊断+治疗"一站式微创诊疗先河。
【病例分享一】
患者老年女性,既往高血压3级很高危、阑尾术后、胆囊结石术后,多种药物过敏史,病灶位于左肺上叶。面对患者高龄、合并多系统疾病等严峻挑战,我院胸外科团队与辽宁省人民医院胸外科专家杨海涛教授深入探讨治疗方案,与患者家属充分沟通后最终决定为患者行微波消融术,术中在CT引导下精准定位靶点。面对患者高龄、合并多系统疾病等严峻挑战,我院胸外科团队与杨海涛教授深入探讨治疗方案,与患者家属充分沟通后最终决定为患者行微波消融术,术中在CT引导下精准定位靶点。




【病例分享二】
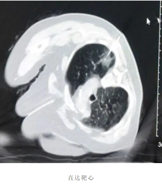
患者老年男性,既往高血压3级、糖尿病、肺气肿,病灶位于右肺下叶。患者微波消融意愿强烈,通过团队积极讨论,在解决结节的同时为后期治疗提供有力依据,术中在CT引导下精准定位靶点,活检、消融一体化。同期解决患者痛点。


【技术解密:微波消融如何实现"灭瘤保肺"?】
1、什么是微波消融?

微波消融是介入治疗领域的"热武器":通过穿刺针将微波能量导入肿瘤组织,使病灶在60℃-100℃高温中发生蛋白变性、细胞坏死,形成类似"精准烧烤"的灭活效果。与传统手术相比,其优势在于:
- 毫米级精准:依托CT/MRI实时影像融合技术,定位误差小于0.5毫米,避免损伤正常肺组织;
- 微创无痕:仅需针眼大小创口,术后24小时即可下床,肺功能保留率较手术提升30%;
- 适应症更广:适用于无法耐受手术的高龄患者、多发性肺结节、肺癌术后复发等场景。
2、三联技术如何颠覆传统?
本次手术创新性实现"定位-减瘤-活检"同步操作:

1.肺结节根治:针对早期磨玻璃结节,消融范围可覆盖病灶外5毫米安全边界,达到外科切除等效效果;
2.晚期肿瘤减瘤:对直径>5厘米的占位性病变,通过分区分次消融降低肿瘤活性,为靶向治疗创造条件;
3.活检消融一体化:在穿刺活检后立即对针道进行热消融,降低肿瘤种植转移风险,病理阳性率达98.7%。
【专家解读:从"开胸大刀"到"针尖微创"的医学进化】
"传统肺结节诊疗面临两大困境:良性结节手术切除可能过度治疗,恶性肿瘤等待观察又可能延误病情。"我院胸外科主任医师陈友教授介绍,"微波消融技术如同在病灶处安装'定向爆破装置',既能精准灭活肿瘤,又能最大程度保留肺功能,尤其适合磨玻璃结节、小结节的早期干预。"数据显示,我国肺结节检出率已达20%-30%,其中约10%为恶性。微波消融的引入,使肺结节治疗从"一刀切"转向"个体化精准干预":对≤3厘米的病灶,消融治疗的5年生存率与手术相当,而并发症发生率降低60%。对于晚期肺癌患者,减瘤消融联合免疫治疗,更可将中位生存期延长至18个月以上。
【患者获益:从"谈癌色变"到"日间手术"的蜕变】

首例接受治疗的79岁患者杨女士感慨:"原以为要开胸切肺,没想到躺一会就做完了手术,背部只有个创可贴。"术后CT显示,其右肺上叶结节完全消融,肺组织无渗血、无气胸。我科为患者提供从影像筛查、消融治疗到术后康复的全周期管理,实现"入院24小时内完成诊疗、48小时内出院"的日间手术模式。
【学科里程碑:微创介入引领肺部疾病诊疗新范式】
此次技术突破标志着我院胸部疾病诊疗进入"精准消融时代"。医院引进的微波消融系统,配备智能温控、呼吸门控技术,可自动补偿呼吸运动导致的定位偏差,使消融精准度再提升40%。未来,团队将探索微波消融联合粒子植入、靶向药物的综合治疗方案,为肺部肿瘤患者打造"微创、高效、个体化"的诊疗体系。
科普小贴士:肺结节≠肺癌,直径<8毫米的结节恶变率不足5%,但需定期随访观察。如发现结节形态不规则、边缘有毛刺、混杂密度等特征,建议至专业MDT中心评估,选择微波消融等微创手段实现"早诊早治"。

徐宝岑,副主任医师,
先后于中国医学科学院肿瘤医院、北京宣武医院进修,
联系方式:15174782496