您当前的位置首页 >医院新闻 > 信息动态
65岁老人误吞鱼头骨刺卡喉,我院多科协作救治1小时化险为夷
2025-10-16  |   152   |       

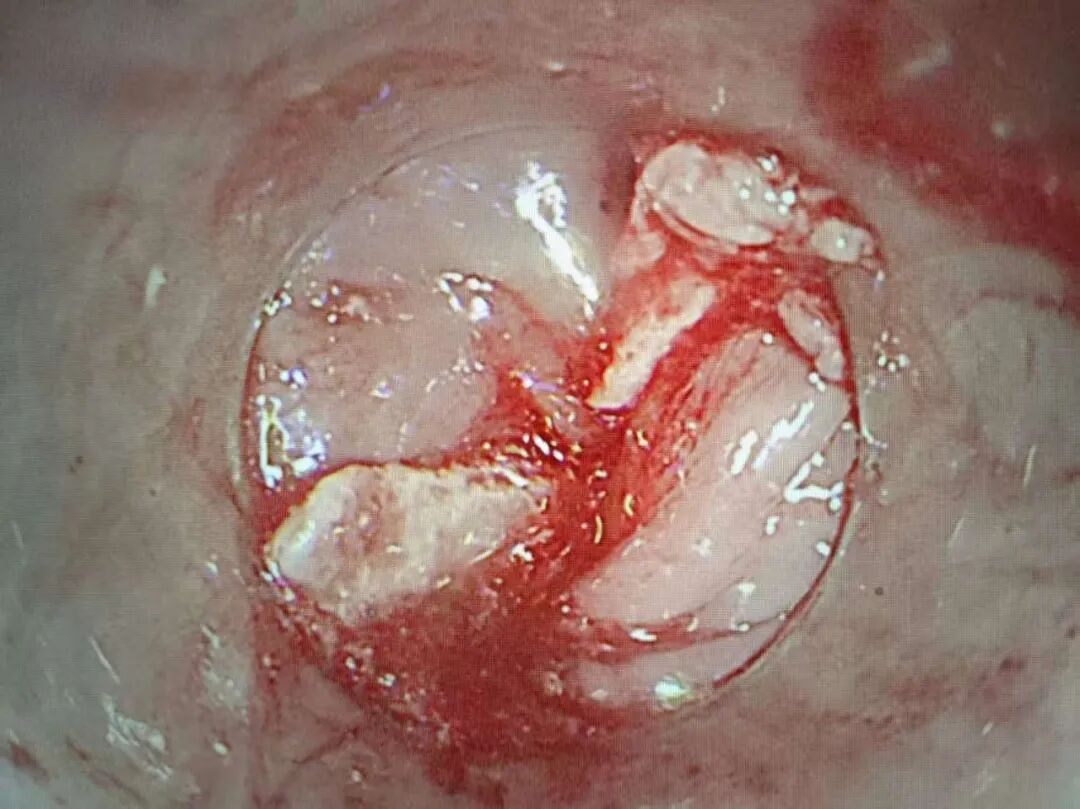
    “谢谢医生!我不用手术了,终于安心了!”当卡在咽部近5小时的鱼头骨被成功取出时,65岁的李爷爷激动握住消化内科王秀秀医生的手反复道谢。这温情又紧张的一幕,发生在我院多学科协作救治的现场。

    就在近日,早晨7点多,李爷爷在家中吃饭时,不慎将一块鱼头骨卡在了喉咙里,咽部传来阵阵刺痛,家人立即将他送往我院耳鼻喉科就诊。喉镜检查显示,异物精准卡在了左侧梨状窝,这是咽喉部一个位置隐蔽且风险极高的区域,常规喉镜下难以安全取出,医生当即建议转至急诊科进一步处理。

时间一分一秒流逝,异物滞留的风险也在不断攀升。上午11时,急诊科紧急联系消化内科会诊。当王秀秀医生赶到时,不仅看到李爷爷因疼痛和恐惧坐立难安,家属也围着病床焦急万分。王秀秀医生与护士魏秀英默契配合,迅速准备器械、制定操作方案,全程争分夺秒却有条不紊。终于在12时,借助专业器械精准操作,那块让李爷爷痛苦近5小时的鱼头骨被成功取出,整个过程安全顺利,未造成额外损伤。

术后,医生并未松懈,详细告知李爷爷及家属注意事项:术后24小时内避免刷牙漱口,之后可用温盐水轻柔清洁口腔;饮食需从温凉流食(如米汤、果汁)过渡到软食(如粥、面条),坚决避开辛辣、坚硬、过热食物;还要密切观察咽部情况,若出现持续出血需立即复诊。

当天下午5时,王秀秀主动电话随访,李爷爷的儿子反馈:“老人家除了喉咙还有点轻微疼,别的啥事儿都没有,饭也能慢慢吃了!”为方便后续跟踪恢复情况,王秀秀医生还添加了家属微信,随时解答疑问、指导护理。

从紧急会诊到顺利取异物,再到术后细致随访,我院医护人员用专业与温情,为患者筑起一道安全防线。在此也提醒广大市民,尤其是老人和儿童,进食时务必细嚼慢咽,遇到异物卡喉切勿盲目吞咽饭团、喝醋,应第一时间前往正规医院就诊,避免延误最佳救治时机。

预约挂号
缴费
检验结果查询
病例复印
金牌护士