您当前的位置首页 >医院新闻 > 信息动态
兴安盟人民医院成功开展首例冠脉旋磨术 复杂钙化病变治疗实现新突破
2025-11-10  |   85   |       

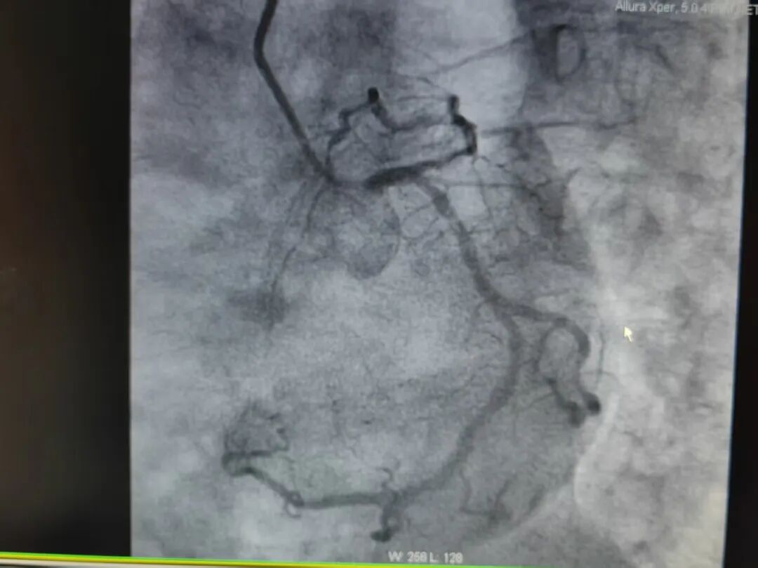
近日,兴安盟人民医院心内一科冯源海主任介入团队在首都医科大学附属北京安贞医院葛海龙教授的精准指导下,成功完成院内首例冠状动脉旋磨术,为一名患有复杂冠脉严重钙化病变的老年患者打通 “生命通道”。此次手术的成功开展,标志着我院心内科介入治疗水平迈上新台阶,为区域内冠心病患者提供了更先进、更全面的诊疗选择。

据悉,患者为老年女性,间断性胸痛症状已持续10年有余,近1周来病情加重,胸痛发作愈发频繁,活动耐力明显下降,严重影响日常生活。该患者有10年高血压病史,2022年曾因胸痛在外院接受冠脉造影检查,提示冠脉三支病变,当时医生为其回旋支及右冠状动脉植入支架以缓解病情,但前降支存在弥漫钙化伴不规则狭窄病变,狭窄程度最重达80%,因病变复杂暂未进一步处理。此次入院后,冠脉 CTA 检查提示前降支重度狭窄,进一步冠脉造影确诊该血管弥漫钙化伴狭窄,狭窄程度已进展至95%,属于高危复杂病变。

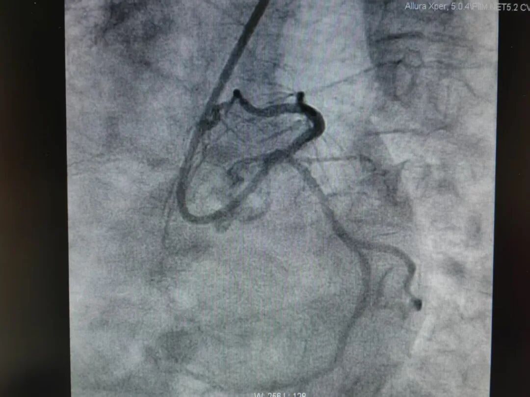
在介入治疗过程中,团队遇到了棘手难题:由于前降支钙化严重、血管管腔极度狭窄,最小型号的扩张球囊也无法顺利通过病变部位,常规支架植入手术难以实施。面对这一困境,冯源海主任团队与葛海龙教授紧急讨论,结合患者病情特点,最终确定采用冠脉旋磨术这一先进技术方案。

手术中,葛海龙教授全程指导,冯源海主任团队精准操作,经过精准旋磨后,前降支管腔狭窄程度得到显著改善,血流通畅性恢复,随后团队顺利完成球囊扩张及支架植入术。整个手术过程顺利,患者生命体征平稳,术后恢复良好,胸痛症状已明显缓解。


冠状动脉旋磨术是治疗严重冠脉钙化病变的 “利器”,尤其适用于常规介入手段难以处理的复杂钙化病变。该技术通过物理研磨的方式消除钙化斑块,为后续支架植入创造良好条件,能有效提高手术成功率,降低并发症风险。此次兴安盟人民医院首例冠脉旋磨术的成功实践,不仅验证了我院心内一科介入团队的技术实力和应急处置能力,更借助与北京安贞医院的学术合作与技术支持,让区域内患者无需远赴异地,就能享受到国内顶尖水平的介入诊疗服务。

冯源海主任表示,未来科室将继续加强与国内知名医院的交流合作,不断引进和推广先进诊疗技术,持续提升复杂冠心病的诊治水平,为更多心血管疾病患者带来福音,守护区域群众的心血管健康。

预约挂号
缴费
检验结果查询
病例复印
金牌护士